Christopher Sholota, DDS
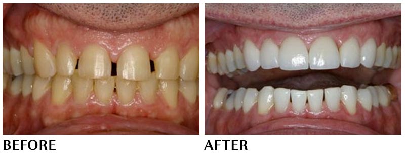
Dr. Chris Sholota has been serving the Atlanta area for over 30 years with excellent clinical dentistry, but his focus has always been on creating a highly-personalized experience designed to make you feel like family. He and his highly-trained team focus on making you feel more comfortable than you ever thought possible.
































